MENU
Home
News
Concept
Digital tools
Oral Scan
Guided Surgery
CAD
CAM
3D Printer
Material
Ziconia
Pekkton
Information
Access
Contact
Flow
Gallery
Recruit
Material
マテリアル
Material
マテリアルの紹介
弊社で使用しているマテリアルの紹介です
Zirconia
Pekkton
Zirconia
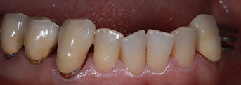
Layered Zirconia
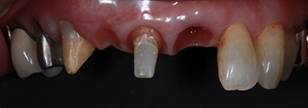
Monolithic Zirconia
Layered Zirconia
Monolithic Zirconia
Sintering Stain Technique